Accueil
Congrès
Angers 2025
St Malo 2025
Nantes 2024
St Malo 2024
Rennes 2023
La Baule 2023
Angers 2022
La Rochelle 2022
St Brieuc 2021
Cholet 2021
Quimper 2020
Cholet 2020 (annulé)
Rennes 2019
Pontivy 2018
Les Herbiers 2017
Brest 2013
Tours 2016
Recherche
Par ville
Par pathologie
Publications
partenaires institutionnels
Appel collaboration recherche
jeunes chercheurs
patients experts
recherche UE
Soins
Site médical RIC
ETP
Aide à la prescription
Recommandations par pathologie
Agenda
Réunion de concertation et demande d’avis
Agenda des congrès et conférences
Enseignements
COFER
banques d'images
Documents officiels de la réforme/FST
Formation médicale continue
contrat de formation UBO/BREST
Echographie
MOOC stat R
AAP-emploi
AAP / bourses
offre successeur/emploi
appel à communication
Chargement...
Image
IRM
Hypersignaux T2 des muscles de la jambe dans le cadre d'un tableau clinique de dermatomyosite à auto-anticorps négatifs, révélée par une atteinte brutale oedémateuse
Multiples lésions vertébrales rachidiennes avec compression médullaire et épidurite à l'étage T5, dans le cadre d'un cancer pulmonaire, en séquence T2 STIR
Plasmocytome solitaire du rachis dorsal découvert dans le cadre du bilan d'une fracture vertébrale dorsale spontanée
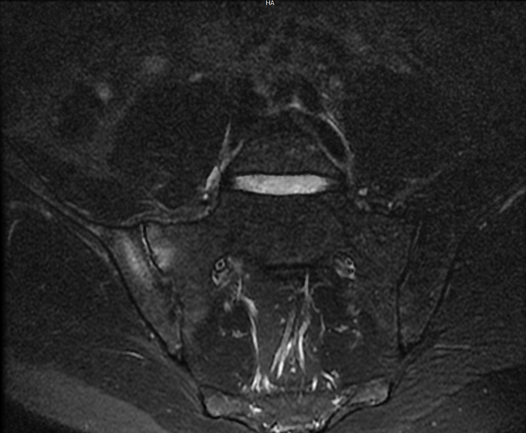
Sacro-iliite droite dans le cadre d'une spondyloarthrite axiale
Tableau clinique de compression médullaire en rapport avec une hernie discale thoracique exclue
Tableau clinique de polymyosite avec atteinte clinique et IRM des deux jambes
Connectez-vous
Se souvenir de moi
S'identifier
Mot de passe perdu
S'enregistrer
Accueil
Congrès
Angers 2025
St Malo 2025
Nantes 2024
St Malo 2024
Rennes 2023
La Baule 2023
Angers 2022
La Rochelle 2022
St Brieuc 2021
Cholet 2021
Quimper 2020
Cholet 2020 (annulé)
Rennes 2019
Pontivy 2018
Les Herbiers 2017
Brest 2013
Tours 2016
Recherche
Par ville
Par pathologie
Publications
partenaires institutionnels
Appel collaboration recherche
jeunes chercheurs
patients experts
recherche UE
Soins
Site médical RIC
ETP
Aide à la prescription
Recommandations par pathologie
Agenda
Réunion de concertation et demande d’avis
Agenda des congrès et conférences
Enseignements
COFER
banques d'images
Documents officiels de la réforme/FST
Formation médicale continue
contrat de formation UBO/BREST
Echographie
MOOC stat R
AAP-emploi
AAP / bourses
offre successeur/emploi
appel à communication