Accueil
Congrès
Angers 2025
St Malo 2025
Nantes 2024
St Malo 2024
Rennes 2023
La Baule 2023
Angers 2022
La Rochelle 2022
St Brieuc 2021
Cholet 2021
Quimper 2020
Cholet 2020 (annulé)
Rennes 2019
Pontivy 2018
Les Herbiers 2017
Brest 2013
Tours 2016
Recherche
Par ville
Par pathologie
Publications
partenaires institutionnels
Appel collaboration recherche
jeunes chercheurs
patients experts
recherche UE
Soins
Site médical RIC
ETP
Aide à la prescription
Recommandations par pathologie
Agenda
Réunion de concertation et demande d’avis
Agenda des congrès et conférences
Enseignements
COFER
banques d'images
Documents officiels de la réforme/FST
Formation médicale continue
contrat de formation UBO/BREST
Echographie
MOOC stat R
AAP-emploi
AAP / bourses
offre successeur/emploi
appel à communication
Chargement...
Image
Radiographie
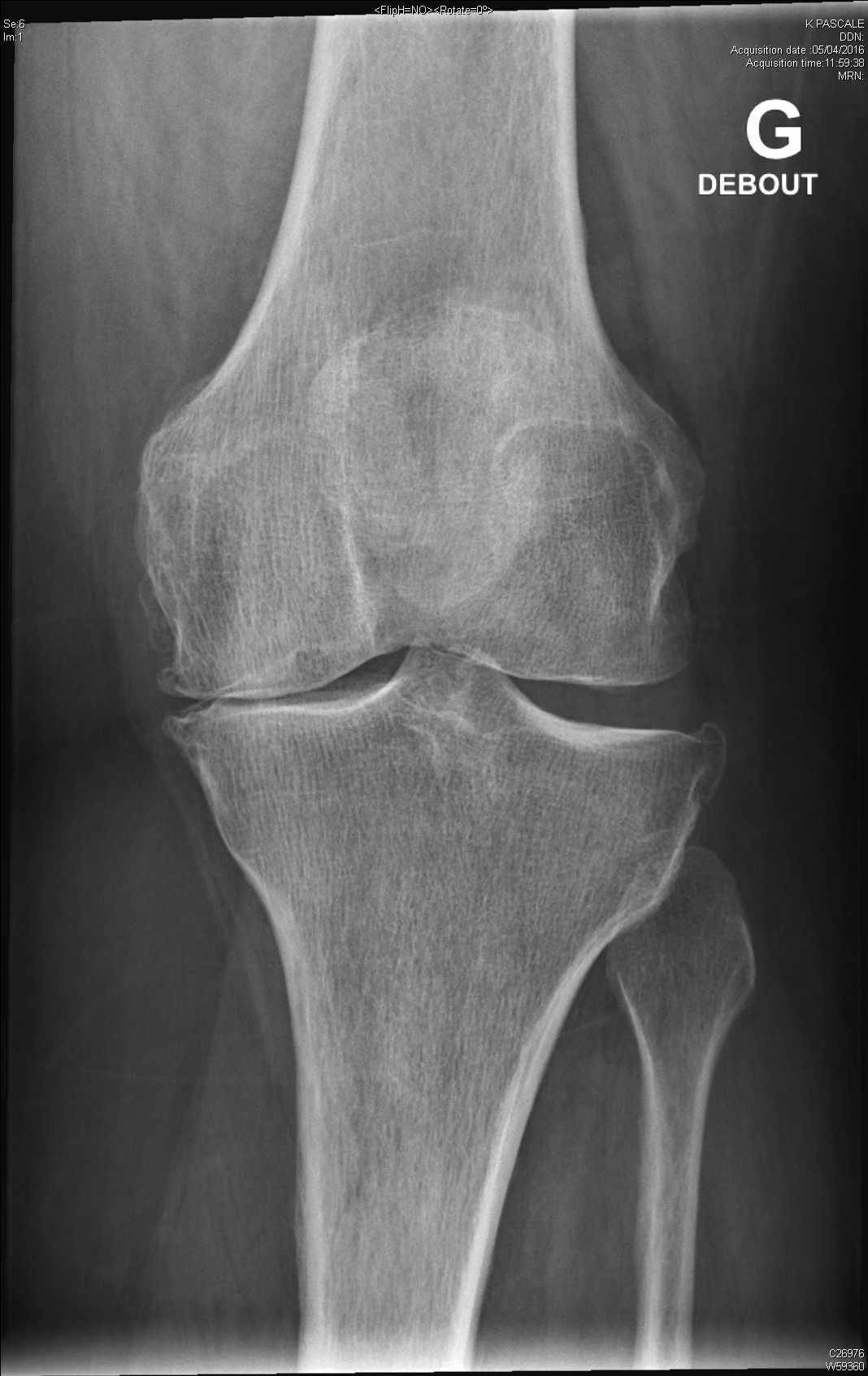
arthrite destructrice évoluée du genou dans le cadre d'une polyarthrite rhumatoïde
Calcinose dans le cadre d'une sclérodermie systémique
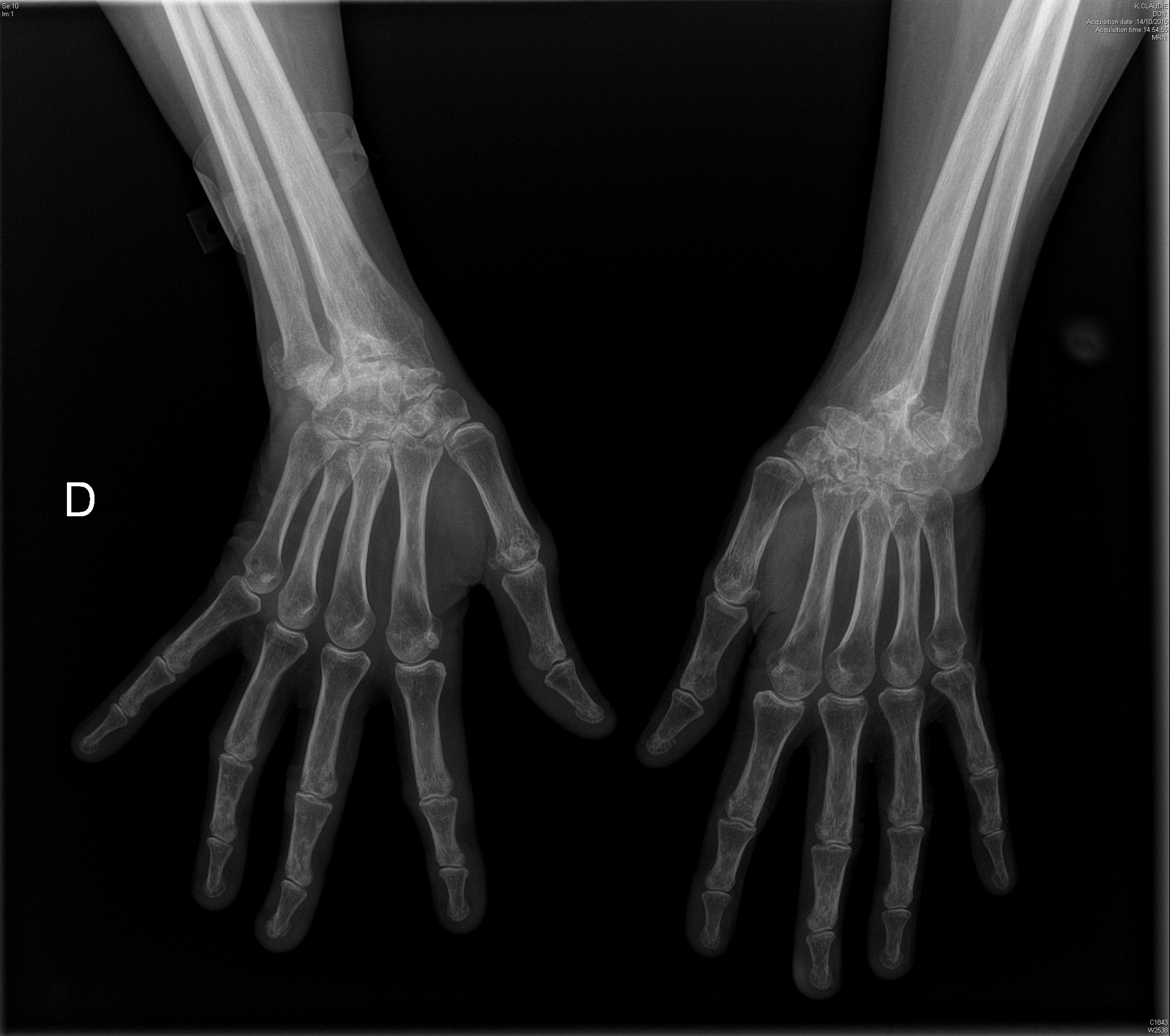
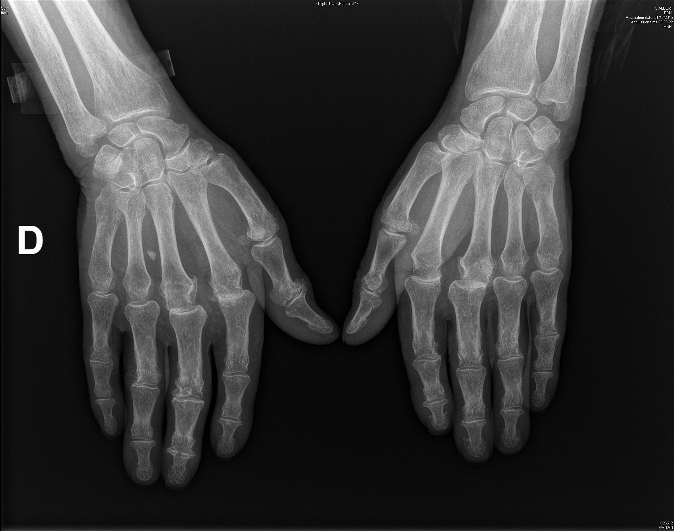
Carpite bilatérale évoluée dans le cadre d'une polyarthrite rhumatoïde
Chondrocalcinose articulaire typique
Coxite rapidement destructrice avec ostéonecrose chez une patiente traitée dans le cadre d'un syndrome des anti-synthétases
Dysplasie fibreuse du fémur gauche dans un contexte de dysplasie fibreuse polyostotique
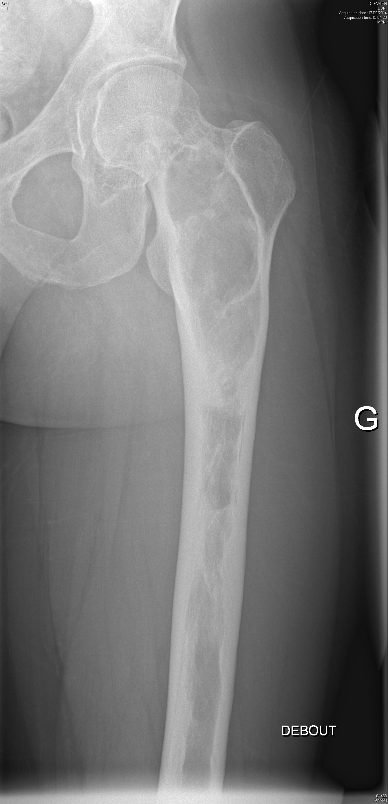
Fracture fémorale atypique sous biphosphonates
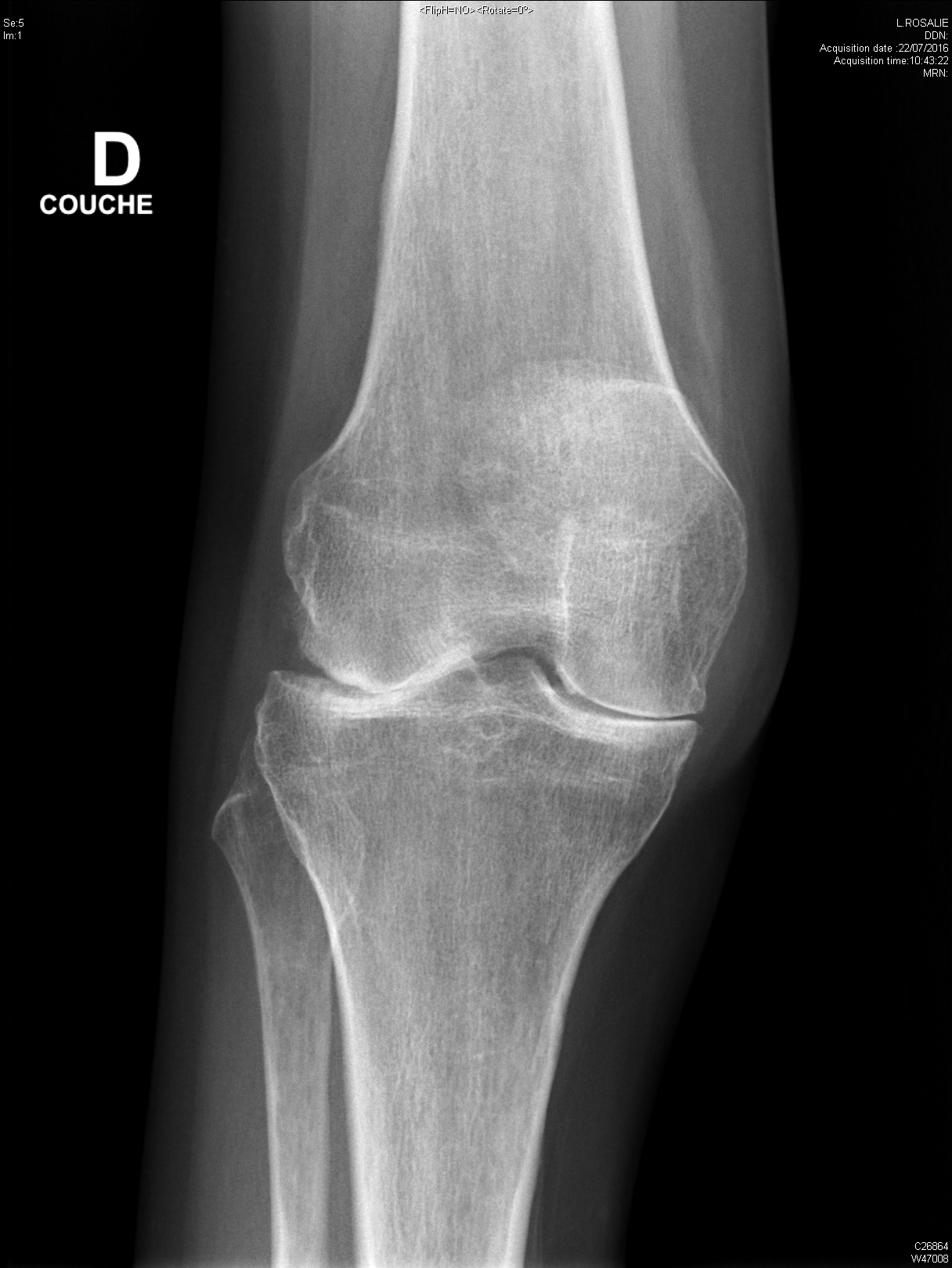
Gonarthrose évoluée sur terrain d'obésité
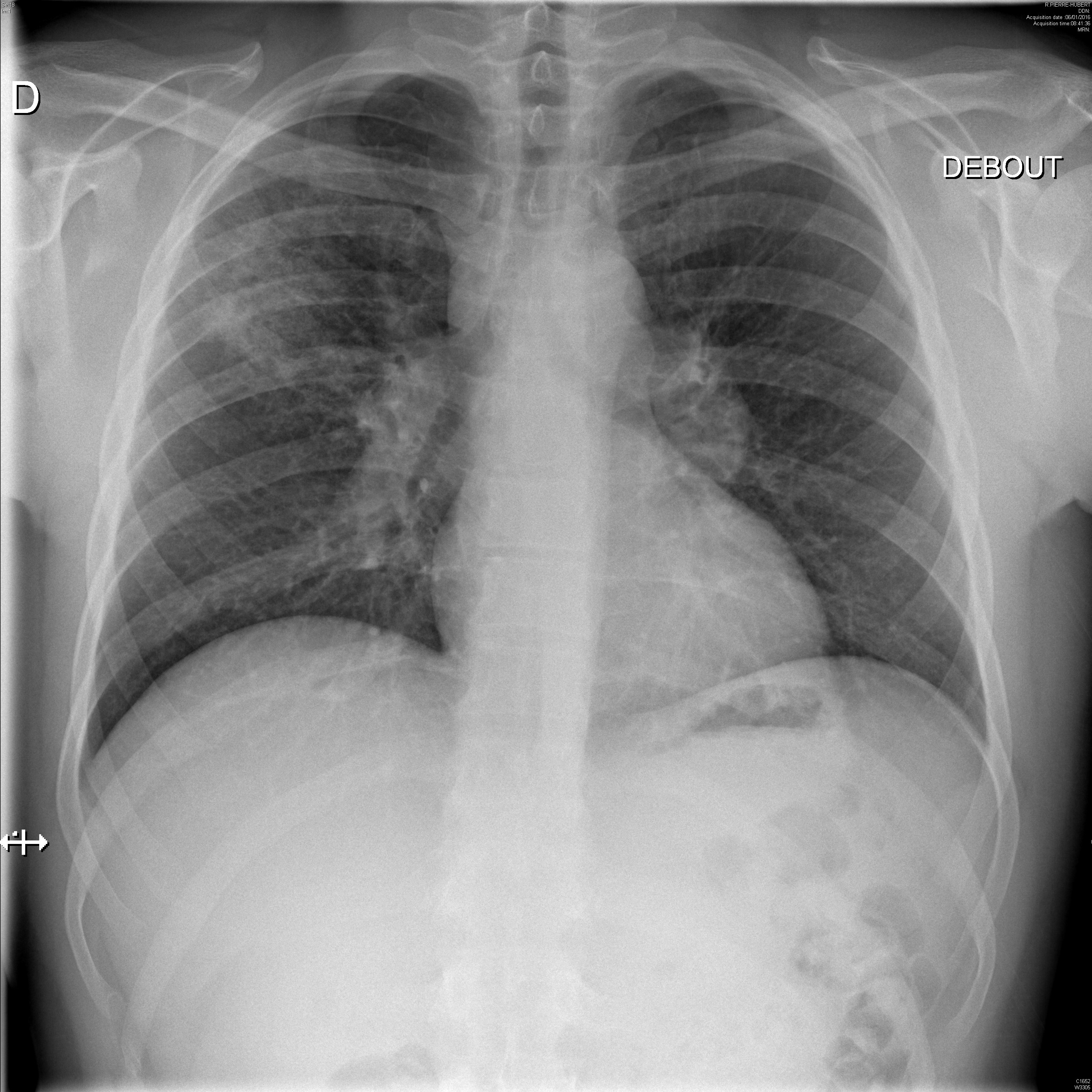
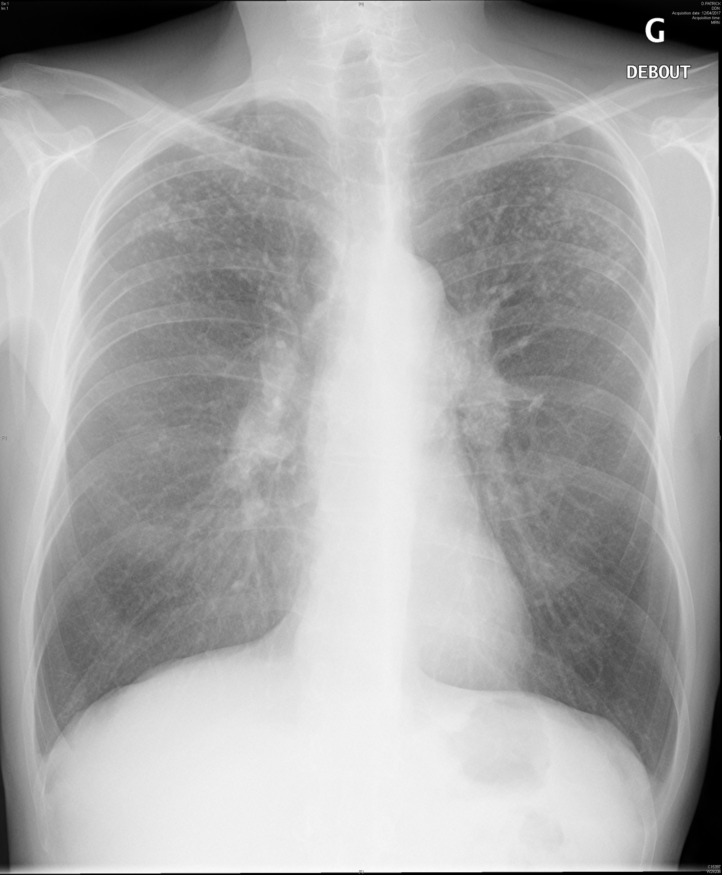
Miliaire pulmonaire dans le cadre d'une sarcoïdose
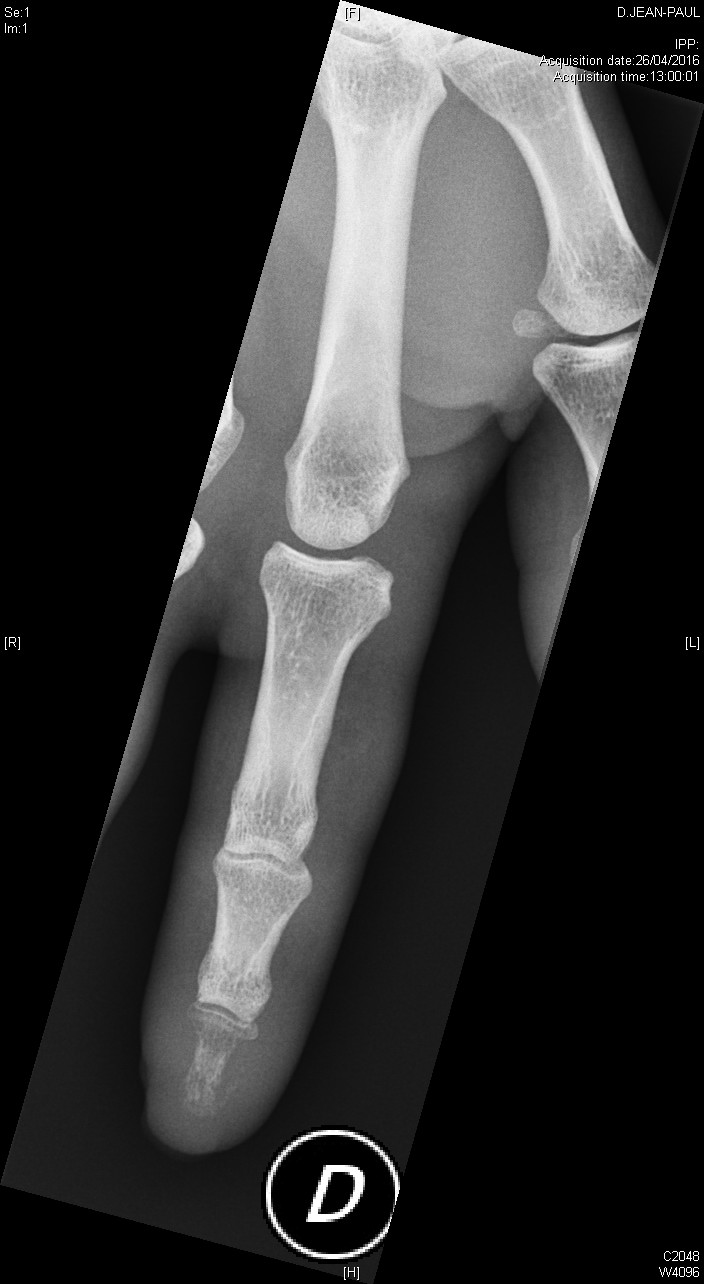
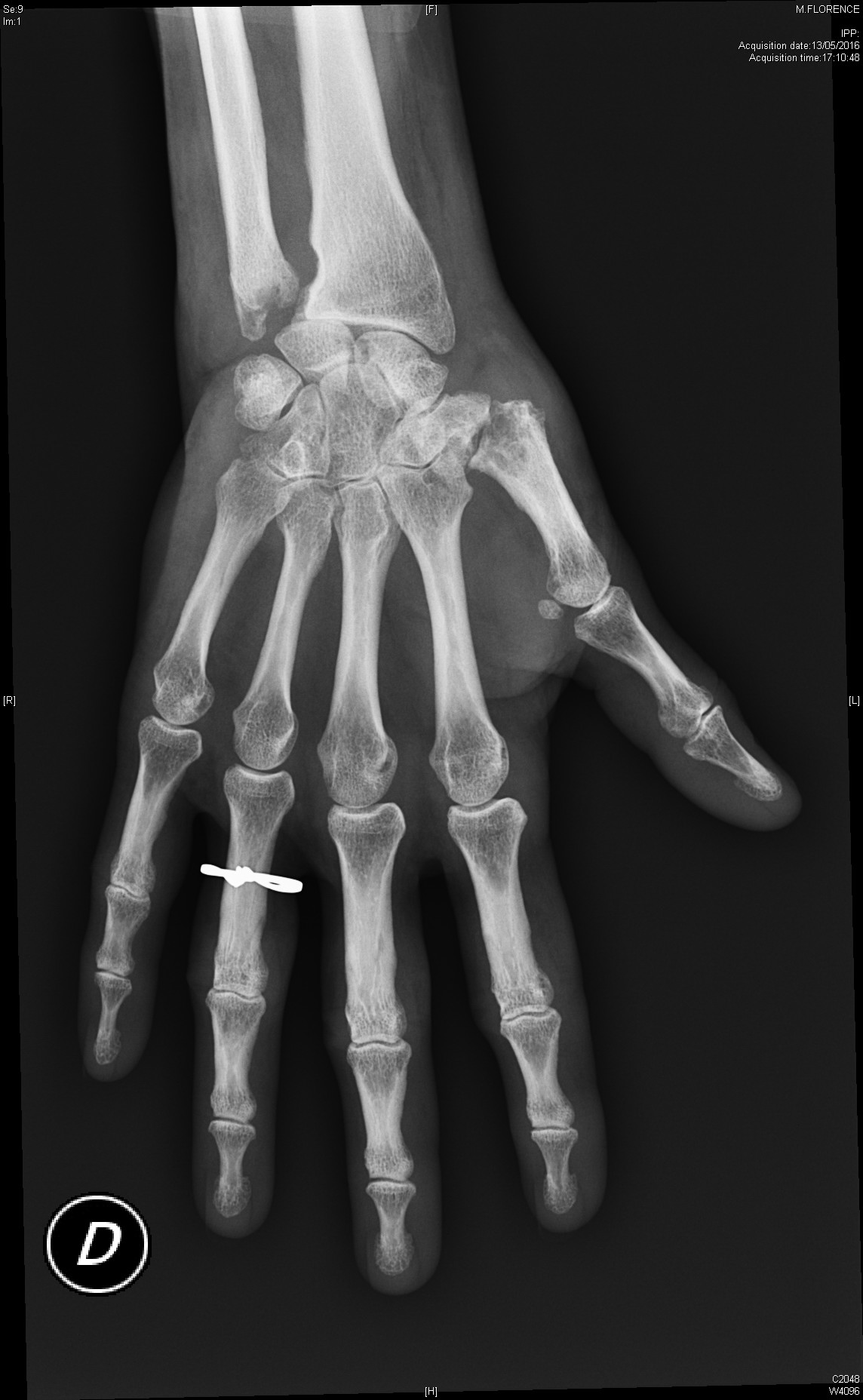
Ostéite de la phalangette
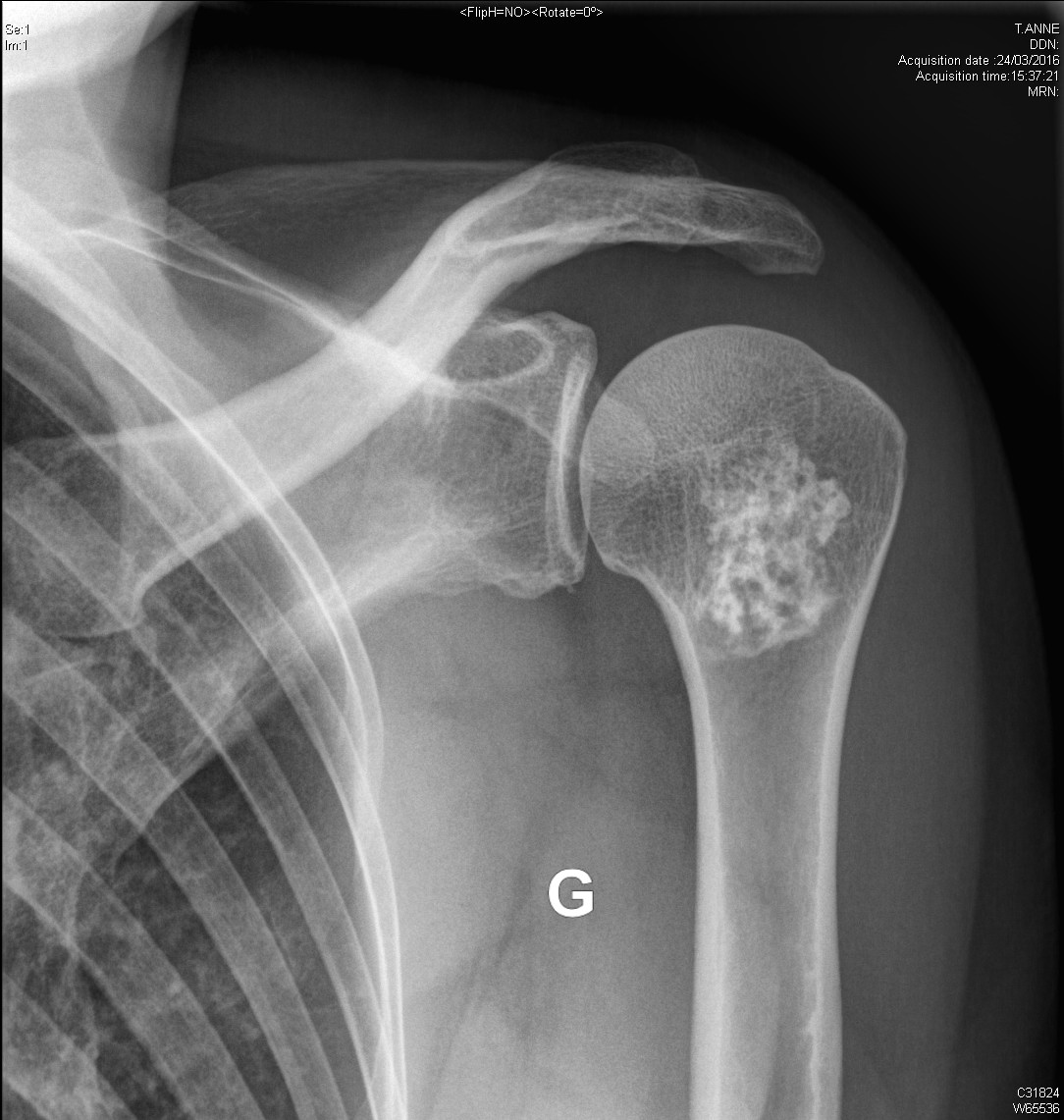
Ostéochondrome de l'épaule
Polyarthrite rhumatoïde débutante, d'emblée érosive
polyarthrite rhumatoïde érosive avec signe de Freiberg radiographique au poignet
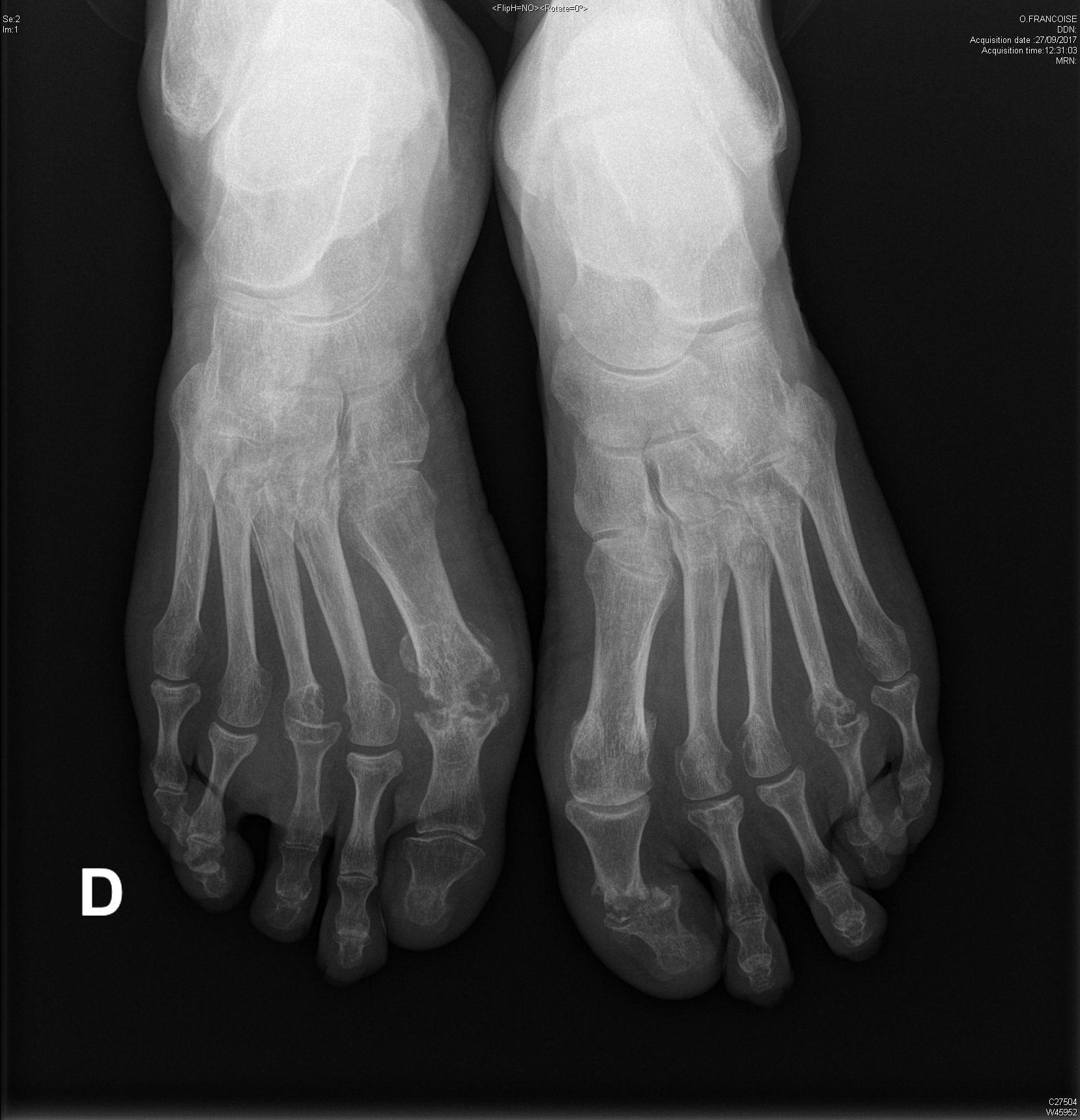
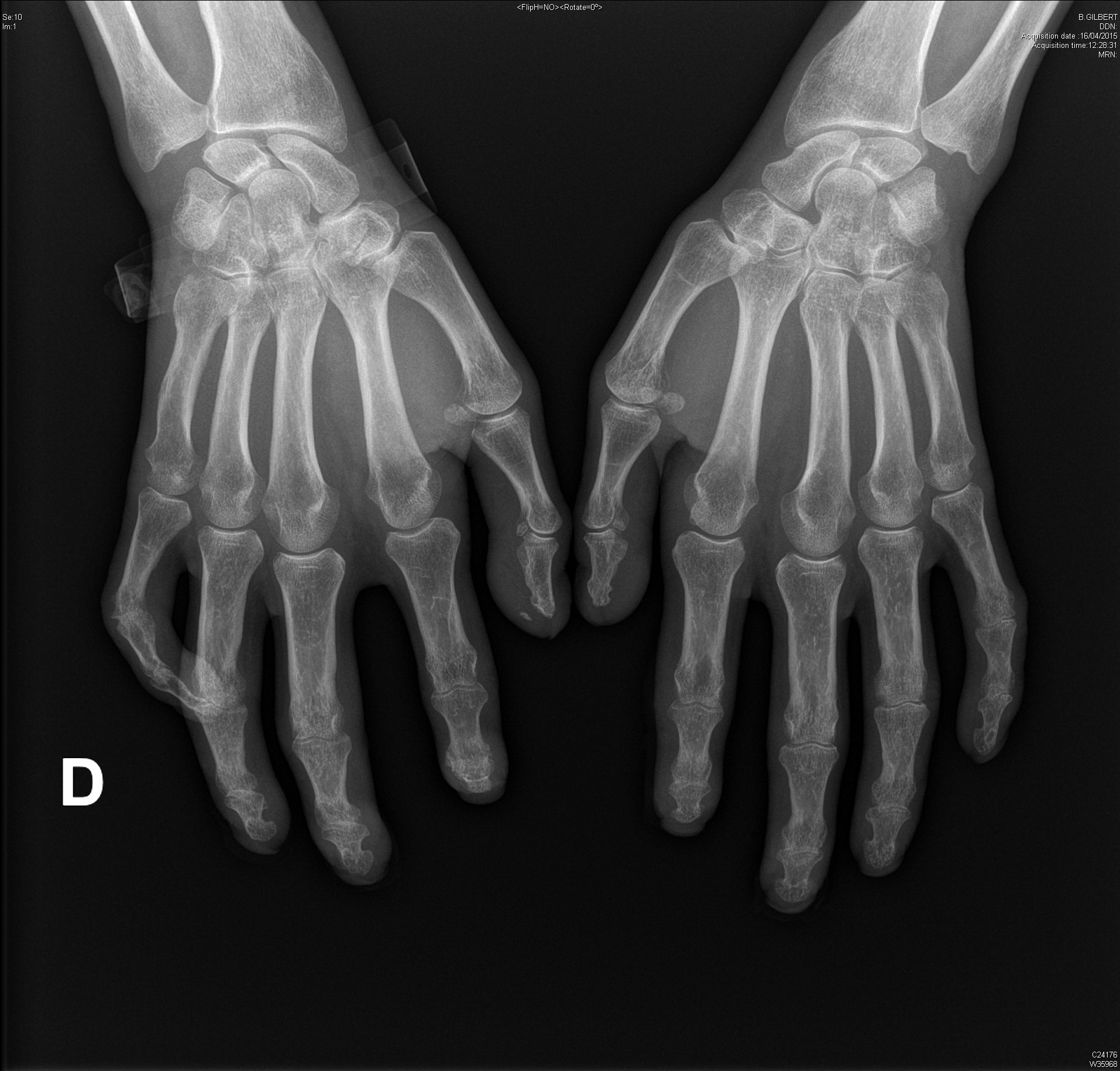
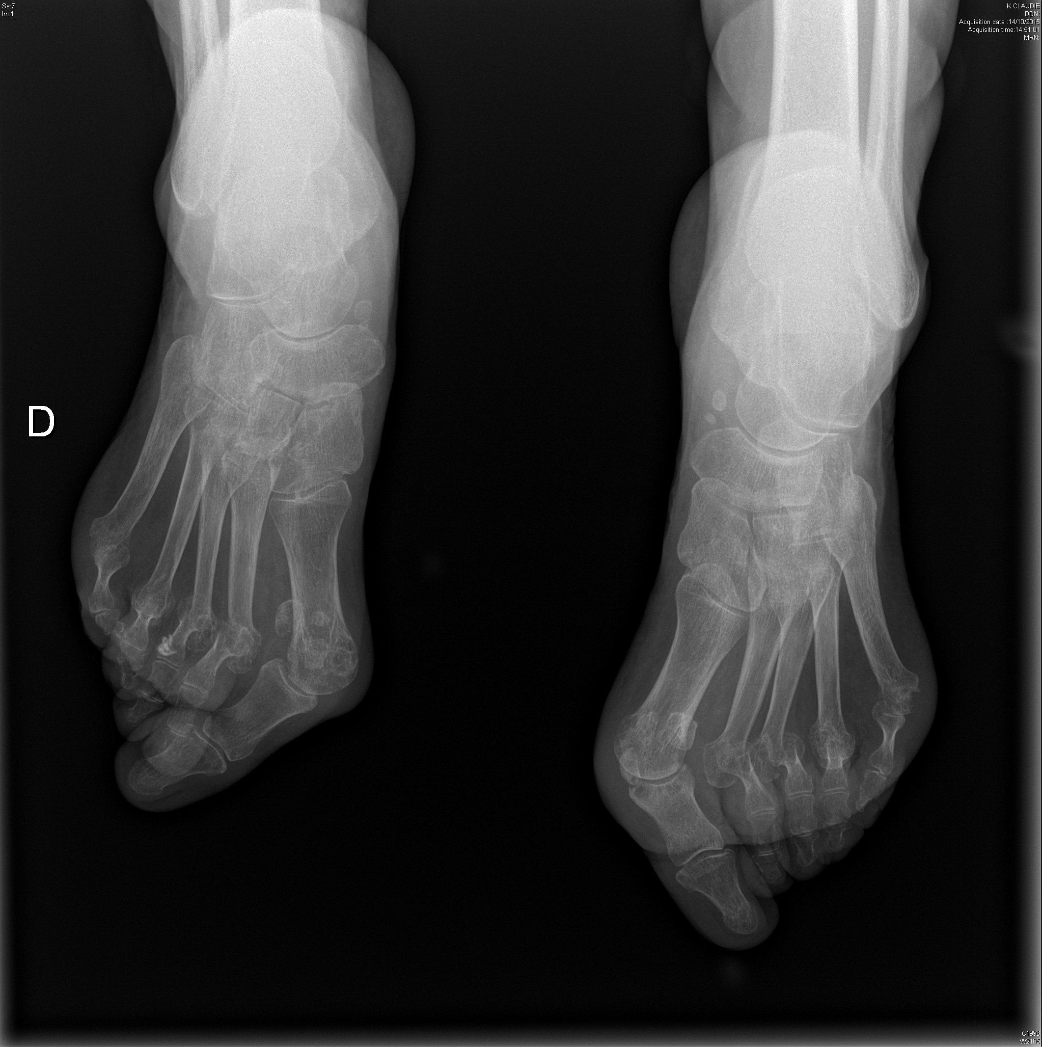
Polyarthrite rhumatoïde séropositive, sévèrement érosive aux pieds
Polyarthrite rhumatoïde séropositive, sévèrement érosive aux pieds
Radiographie retrouvant une dysplasie acétabulaire bilatérale ainsi qu'une lésion de dysplasie fibreuse du col fémoral droit chez une jeune fille
Syndrome interstitiel et adénopathies médiastinales dans le cadre d'une sarcoïdose systémique
Connectez-vous
Se souvenir de moi
S'identifier
Mot de passe perdu
S'enregistrer
Accueil
Congrès
Angers 2025
St Malo 2025
Nantes 2024
St Malo 2024
Rennes 2023
La Baule 2023
Angers 2022
La Rochelle 2022
St Brieuc 2021
Cholet 2021
Quimper 2020
Cholet 2020 (annulé)
Rennes 2019
Pontivy 2018
Les Herbiers 2017
Brest 2013
Tours 2016
Recherche
Par ville
Par pathologie
Publications
partenaires institutionnels
Appel collaboration recherche
jeunes chercheurs
patients experts
recherche UE
Soins
Site médical RIC
ETP
Aide à la prescription
Recommandations par pathologie
Agenda
Réunion de concertation et demande d’avis
Agenda des congrès et conférences
Enseignements
COFER
banques d'images
Documents officiels de la réforme/FST
Formation médicale continue
contrat de formation UBO/BREST
Echographie
MOOC stat R
AAP-emploi
AAP / bourses
offre successeur/emploi
appel à communication